ವಿಡಿಯೋ ಫೋಟೋ ಗ್ಯಾಲರಿ ಫ್ಯಾಷನ್​ ಕ್ರೈಂ ಧಾರ್ಮಿಕ ವಿಶ್ವವಾಣಿ ಪ್ರಾಪರ್ಟಿ ಪ್ರವಾಸಿ ಪ್ರಪಂಚ ವಿದೇಶ ಸಂಪಾದಕೀಯ ಉದ್ಯೋಗ

Viral News: ವ್ಯಕ್ತಿಯ ತಲೆಯ ಸ್ಕ್ಯಾನ್‌ ಮಾಡಿದ ವೈದ್ಯರಿಗೆ ಕಾದಿತ್ತು ಬಿಗ್‌ ಶಾಕ್‌! ರಿಪೋರ್ಟ್‌ನಲ್ಲಿ ಅಂತಹದ್ದೇನಿದೆ?

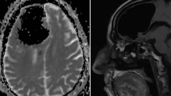
ಹೈಡ್ರೋಸೆಫಾಲಸ್ (ಜಲಮಸ್ತಿಷ್ಕ ರೋಗ) ಎಂಬ ಅಪರೂಪದ ಕಾಯಿಲೆಯಿಂದ ಬಳಲುತ್ತಿದ್ದ ಫ್ರೆಂಚ್ ವ್ಯಕ್ತಿಯೊಬ್ಬನಿಗೆ ಸಿಟಿ ಸ್ಕ್ಯಾನಿಂಗ್‌ ಮಾಡಿದಾಗ ಅದರಲ್ಲಿ ಅವನ ಮೆದುಳು ಶೇಕಡ 90 ರಷ್ಟು ಖಾಲಿಯಾಗಿರುವುದು ಕಂಡುಬಂದಿದೆ. ಆದರೆ ಸಿಟಿ ಸ್ಕ್ಯಾನ್‍ ರಿಪೋರ್ಟ್‌ನಲ್ಲಿ ಬೇರೆಯೇ ಇದೆ ಎಂದು ನರರೋಗ ತಜ್ಞರು ತಿಳಿಸಿದ್ದಾರೆ.ಈ ಸುದ್ದಿ ಈಗ ವೈರಲ್‌(Viral News) ಆಗಿದೆ.

ಮನುಷ್ಯನ ತಲೆಯಲ್ಲಿ ಮೆದುಳು ಇಲ್ಲದಿದ್ದರೆ ಮನುಷ್ಯ ಜೀವಂತ ಶವವಾಗುತ್ತಾನೆ ಎಂಬುದು ಎಲ್ಲರಿಗೂ ತಿಳಿದ ವಿಚಾರ. ಹೀಗಿರುವಾಗ ಹೈಡ್ರೋಸೆಫಾಲಸ್ (ಜಲಮಸ್ತಿಷ್ಕ ರೋಗ) ಎಂಬ ಅಪರೂಪದ ಕಾಯಿಲೆಯಿಂದ ಬಳಲುತ್ತಿದ್ದ ಫ್ರೆಂಚ್ ವ್ಯಕ್ತಿಯೊಬ್ಬನಿಗೆ ಸ್ಕ್ಯಾನಿಂಗ್‌ ಮಾಡಿದಾಗ ಅದರಲ್ಲಿ ಅವನ ಮೆದುಳು ಶೇಕಡ 90 ರಷ್ಟು ಖಾಲಿಯಾಗಿರುವುದನ್ನು ನೋಡಿ ವೈದ್ಯರು ಶಾಕ್‌ ಆಗಿದ್ದಾರೆ. ಹೀಗಿದ್ದರು ಆತ ಯಾವುದೇ ಮಾನಸಿಕ ಸಮಸ್ಯೆಗಳಿಲ್ಲದೆ ಕೆಲಸ ಮಾಡುತ್ತಿದ್ದಾನೆ ಮತ್ತು ಕುಟುಂಬವನ್ನು ನಿರ್ವಹಿಸುತ್ತಿದ್ದಾನೆ. ಈ ಸುದ್ದಿ ಈಗ ಸೋಶಿಯಲ್‌ ಮೀಡಿಯಾದಲ್ಲಿ ವೈರಲ್‌ ಆಗಿದೆ.

ಏನಿದು ಮೆದುಳು ಖಾಲಿಯಾಗುವುದು ಎಂದು ನಿಮಗೂ ಕೂಡ ಆಶ್ಚರ್ಯವಾಗ್ತಿದೆಯಾ...? ನರರೋಗ ತಜ್ಞರ ಅವರ ಪ್ರಕಾರ, ಇಲ್ಲಿ ಮೆದುಳು ಖಾಲಿಯಾಗಿಲ್ಲ, ಬದಲಾಗಿ ಸಿಟಿ ಸ್ಕ್ಯಾನ್‍ ಮೆದುಳಿನಲ್ಲಿ ತುಂಬಿಕೊಂಡ ನೀರನ್ನು ತೋರಿಸುತ್ತದೆ. ಖಾಲಿ ಸ್ಥಳವಲ್ಲ. ಈ ನೀರನ್ನು ಸೆರೆಬ್ರೊಸ್ಪೈನಲ್ ದ್ರವ ಎಂದು ಕರೆಯಲಾಗುತ್ತದೆ. ಇದು ಮೆದುಳು ಮತ್ತು ಬೆನ್ನುಹುರಿಯನ್ನು ಸುತ್ತುವರೆದಿರುವ ಸ್ಪಷ್ಟವಾದ ಬಣ್ಣ ರಹಿತ ದ್ರವ ಆಗಿದೆ. ಸೆರೆಬ್ರೊಸ್ಪೈನಲ್ ದ್ರವ ಮೆದುಳಿಗೆ ಪೋಷಕಾಂಶ ಕಳುಹಿಸುತ್ತದೆ. ಹಾಗೂ ಕಲ್ಮಶಗಳನ್ನು ತೆಗೆದು ಹಾಕುತ್ತದೆ.

ಈ ದ್ರವವು ಮೆದುಳಿನ ಅಂಗಗಳ ಸುತ್ತಲೂ ಹರಿಯುತ್ತದೆ ಮತ್ತು ಪ್ರತಿದಿನ ಉತ್ಪತ್ತಿಯಾಗುತ್ತದೆ. ಹೆಚ್ಚುವರಿ ದ್ರವವು ಸಂಗ್ರಹವಾದಾಗ, ಅದು ಜಲಮಸ್ತಿಷ್ಕ ರೋಗಕ್ಕೆ ಕಾರಣವಾಗುತ್ತದೆ. ಇದು ಸಿಟಿ ಸ್ಕ್ಯಾನ್‌ಗಳಲ್ಲಿ ಕಪ್ಪು ಪ್ರದೇಶವಾಗಿ ಕಾಣಿಸಿಕೊಳ್ಳುತ್ತದೆ. ಆದರೆ ಈ ಭಾಗವು ಖಾಲಿಯಾಗಿಲ್ಲ ಅದು ದ್ರವದಿಂದ ತುಂಬಿರುತ್ತದೆ.

ಜಲಮಸ್ತಿಷ್ಕ ರೋಗಕ್ಕೆ ಕಾರಣವೇನು?

ತಜ್ಞರು ವಿವರಿಸಿದಂತೆ, ಇದು ಮೆದುಳಿನಲ್ಲಿ ದ್ರವದ ಅಸಹಜ ಶೇಖರಣೆಗೆ ಕಾರಣವಾಗುವ ಸೋಂಕಿನಿಂದ ಉಂಟಾಗುತ್ತದೆ. ಉದಾಹರಣೆಗೆ, ಟಿಬಿಯಂತಹ ಸೋಂಕುಗಳು ಅಥವಾ ಮೆದುಳಿನಲ್ಲಿ ದ್ರವ ಹೀರಿಕೊಳ್ಳುವಿಕೆಯನ್ನು ತಡೆಯುವ ಸಮಸ್ಯೆಗಳಿಂದಾಗಿ ಜಲಮಸ್ತಿಷ್ಕ ರೋಗ ಸಂಭವಿಸಬಹುದು. ಈ ದ್ರವವು ಸಾಮಾನ್ಯವಾಗಿ ಮೆದುಳು ಮತ್ತು ಬೆನ್ನುಹುರಿಯ (ಸೆರೆಬ್ರಲ್ ಕಾಲಮ್) ಸುತ್ತಲೂ ಹರಿಯುತ್ತದೆ ಮತ್ತು ಮುಖ್ಯವಾಗಿ ಮೆದುಳಿನ ಮೇಲ್ಮೈಯಲ್ಲಿರುವ ಅಂಗಾಂಶದಲ್ಲಿನ ರಕ್ತನಾಳಗಳಿಂದ ಹೀರಲ್ಪಡುತ್ತದೆ. ಆದರೆ, ಈ ಕಾರ್ಯಕ್ಕೆ ಅಡಚಣೆ ಉಂಟಾದರೆ, ಇದರಿಂದಾಗಿ ಮೆದುಳಿನಲ್ಲಿ ದ್ರವ ಸಂಗ್ರಹವಾಗುತ್ತದೆ.

ಜಲಮಸ್ತಿಷ್ಕ ರೋಗದ ಲಕ್ಷಣಗಳು

ಮಕ್ಕಳು ಮತ್ತು ವಯಸ್ಕರಲ್ಲಿ ಲಕ್ಷಣಗಳು ಬೇರೆ ಬೇರೆಯಾಗಿರುತ್ತವೆ. ಮಕ್ಕಳ ಮೆದುಳು ದೊಡ್ಡದಾಗಬಹುದು. ಆದರೆ ವಯಸ್ಕರ ಮೆದುಳು ಕುಗ್ಗಬಹುದು. ಸಾಮಾನ್ಯ ಲಕ್ಷಣಗಳಲ್ಲಿ ತಲೆತಿರುಗುವಿಕೆ, ವಾಂತಿ, ಆಲಸ್ಯ, ಕಿರಿಕಿರಿ, ತಿನ್ನಲು ತೊಂದರೆ, ಓಡುವುದು, ಅಸಹಜ ಕಣ್ಣಿನ ಆಕಾರ, ತಲೆನೋವು ಮತ್ತು ದುರ್ಬಲ ಸ್ನಾಯುಗಳು ಸೇರಿವೆ.

ಈ ಸುದ್ದಿಯನ್ನೂ ಓದಿ:‌Viral Video: ದೈತ್ಯ ಹೆಬ್ಬಾವನ್ನು ಬರಿಗೈಯಲ್ಲಿ ಹೊತ್ತೊಯ್ದ ಮಕ್ಕಳು! ಬೆಚ್ಚಿಬೀಳಿಸುವ ವಿಡಿಯೊ ವೈರಲ್

ಜಲಮಸ್ತಿಷ್ಕ ರೋಗಕ್ಕೆ ಚಿಕಿತ್ಸೆ ಇದೆಯೇ?

ಜಲಮಸ್ತಿಷ್ಕ ರೋಗವನ್ನು ಗುಣಪಡಿಸಬಹುದಾಗಿದೆ. ಸೋಂಕುಗಳನ್ನು ಔಷಧಿಗಳಿಂದ ತಡೆಯಬಹುದು. ಮತ್ತು ಸಣ್ಣ ಪೈಪ್ ಮೂಲಕ ಹೆಚ್ಚುವರಿ ದ್ರವವನ್ನು ತೆಗೆದುಹಾಕಲು ಶಸ್ತ್ರಚಿಕಿತ್ಸೆಯ ಅಗತ್ಯವಿರುತ್ತದೆ. ಕೆಲವು ಸಂದರ್ಭಗಳಲ್ಲಿ, ಸ್ಟೆಂಟ್‌ಗಳು ಅಥವಾ ಹೆಚ್ಚುವರಿ ಶಸ್ತ್ರಚಿಕಿತ್ಸೆಗಳು ಅಗತ್ಯವಾಗಿರುತ್ತದೆ.